Zerwane więzadło krzyżowe to jedna z najczęstszych przyczyn kulawizn u psów. Dziś przybliżymy Wam popularne techniki, które stosujemy w naszej klinice.
1. TPLO (Tibial Plateau Leveling Osteotomy), CCWO (Cranial Closing Wedge Osteotomy) i CBLO (CORA Based Leveling Osteotomy) – Zabiegi polegające na zmianie kąta powierzchni stawu piszczelowego przez wykonanie osteotomii.
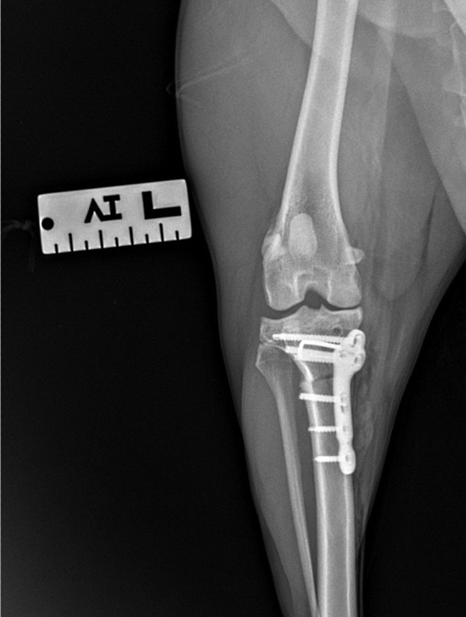
2. TTA (Tibial Tuberosity Advancement), TTA Rapid oraz MTTA – Osteotomia, która polega na przesunięciu guzowatości kości piszczelowej, co zmienia biomechanikę sił działających na staw kolanowy.
3. Modified FLO i Tight Rope – Metody stabilizacji zewnątrztorebkowej za pomocą implantów, które przejmują funkcję więzadła krzyżowego.
4. PTE (Proximal Tibia Epiphysiodesis) – Zabieg polegający na kształtowaniu relacji płaszczyzn w stawie poprzez wpływ na sposób jego rozwoju z zastosowaniem specjalnego implantu.
Wybór metody operacyjnej opiera się na szczegółowej analizie przypadku, obejmującej badanie ortopedyczne, badania radiologiczne oraz specjalistyczne pomiary. Ponadto, uwzględniamy masę ciała, preferencje motoryczne, specyfikę anatomii oraz ewentualne współistniejące schorzenia, aby wybrać najskuteczniejsze rozwiązanie stabilizacji dla Twojego pupila.
Operacja kolana u psa, kota
20/03/2025

Strona używa plików cookies do celów funkcjonalnych oraz statystycznych